Combining orthodontics and veneers in family dentistry offers clear benefits. You get a smile transformation that is both effective and long-lasting. Orthodontics aligns your teeth, setting a strong foundation for the rest of your dental care. When you add veneers, you enhance the results with a flawless finish. A dentist in Springfield VA will provide both treatments efficiently, saving you time and effort. You can achieve optimal dental health and aesthetics simultaneously. This combination not only improves function but boosts confidence. Your family receives tailored care that meets individual needs. Healthier smiles often lead to better overall health. With these treatments, you ensure each family member benefits from precise and modern dental solutions. Opting for both orthodontics and veneers enriches your dental journey, offering practical advantages that last a lifetime. Each step is seamless and designed to support you and your family’s dental well-being.
1. Ideal Alignment and Perfect Finish
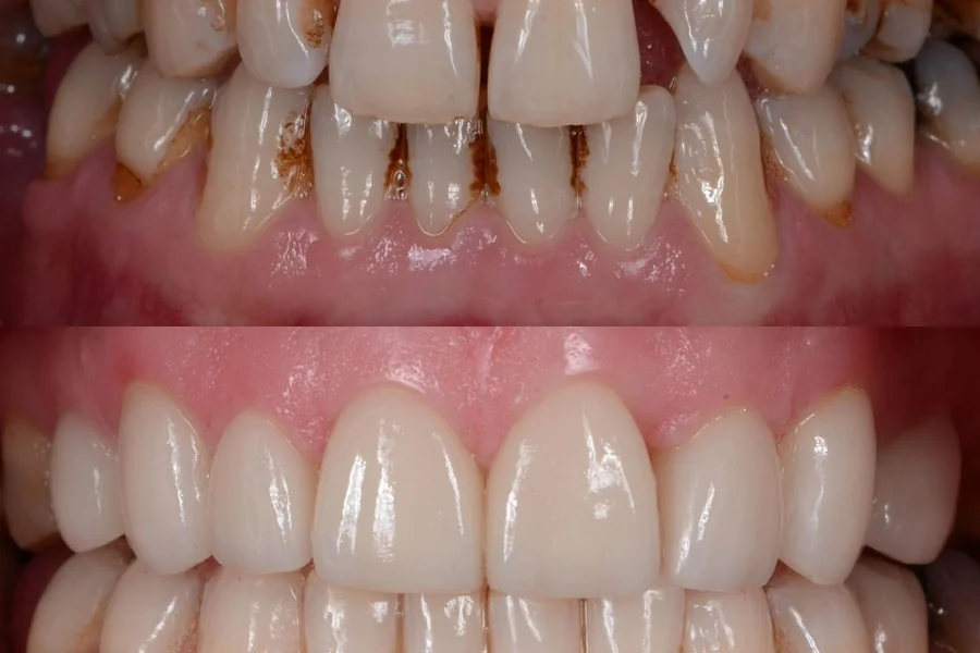
The first benefit of combining these treatments is the synergy between alignment and appearance. Orthodontics straightens your teeth, ensuring proper function. With veneers, you add a polished look that masks any imperfections. This approach gives your family the best of both worlds. It’s a prudent choice for those looking to improve dental aesthetics alongside functionality. You avoid the need for multiple appointments. Instead, you achieve both alignment and aesthetics in a streamlined plan.
2. Enhanced Durability and Strength
Veneers, when placed on aligned teeth, offer better durability. Misaligned teeth can cause excessive pressure on veneers. This might lead to wear and tear. By first aligning teeth, you establish an even bite. This spreads pressure evenly, extending the lifespan of your veneers. They cover minor flaws and support the teeth underneath. The combination of treatments ensures that veneers are not just decorative. They contribute to the overall strength of your dental structure.
3. Cost-Effective Care
Opting for both treatments can be cost-effective. Many families worry about the costs of multiple dental procedures. When you combine orthodontics and veneers, you reduce expenses in the long run. It minimizes future corrections or replacements. With proper planning, you can avoid the expense of addressing issues separately. A well-aligned foundation means veneers are less likely to incur damage. This reduces the need for frequent visits to the dentist.
4. Increased Confidence and Self-Esteem
Healthier smiles enhance self-esteem. When family members feel good about their teeth, it reflects in their confidence. Children, in particular, benefit significantly. A perfect smile can influence their social interactions and self-image. Adults also experience benefits in professional and personal settings. The confidence that comes with a healthy smile is invaluable. It encourages more social engagement and a positive self-view.
5. Comprehensive Family Care
Family dentistry focuses on the needs of each family member. Combining orthodontics and veneers ensures comprehensive care. Everyone benefits from a customized approach. From children needing orthodontic treatment to adults desiring veneers, all ages are covered. Your dental care becomes a cohesive plan, tailored to individual needs. This ensures that dental health and aesthetics are addressed simultaneously.
Comparison of Benefits
| Benefit | Orthodontics Alone | Orthodontics and Veneers Combined |
|---|---|---|
| Alignment | Effective | Effective |
| Aesthetics | Limited | Enhanced |
| Durability | Standard | Improved |
| Cost-Effectiveness | Varied | More Cost-Effective |
| Confidence | Good | Higher |
Combining orthodontics and veneers proves to be a wise investment for families seeking comprehensive dental care. By addressing both alignment and aesthetics, you ensure a balanced approach to dental health.
